口罩预约、企业服务、心理咨询、疫情实时共享、防范建议……在深圳市的统一政务生活服务APP i深圳上,你能看到诸多适配疫情的专有服务,从生活防护到在线问诊,甚至到文化娱乐,彼此交织成一张360度的疫情期间政务服务大网。
这恰是如今智慧城市的一个缩影。
可以理解为,与疫情黑天鹅相伴而生的不只是经济的滑坡,还有危中生机的城市进化。如果套用一个比较新潮的词,那就是智慧城市的数字新基建模式。
关于新基建,人们最能感知到的是来自国家政策的定调和推动,即基于技术对固有产业进行数字化的升级改造。若是聚焦到这次疫情,更深的印象则是城市侧的加速转身。
城市,正在进化为一个新的数字基建综合体。
对于这个偏向G端的“大工程”,能找到足够鲜明的转身痕迹。对人们而言,能切身体会到的是基于各种app进行的数据登记和查询;对于互联网巨头而言,是基于智慧城市建设抢占产业互联网时代的船票;而对于政府而言,就是响应国家“放管服”改革,让“让城市更聪明、更智慧”的成绩单。
在新基建的大潮之下,智慧城市已经成为置身其中的一个颇为亮眼的注脚。
一、“优等生和差等生”
1854年,一场霍乱袭击英国伦敦。
短短10天,500多人丧生,富人们争相逃离伦敦,穷人们只能在绝望中等待死亡,上至维多利亚女王,下至平民百姓,就连医学泰斗南丁格尔都认为:霍乱是由空气传播的。
但是,一位出身贫苦的医生约翰·斯洛不以为然。他绘制了一张“地图”:在地图上,用黑粗线标注感染者的住址后发现,感染者都住在一个叫宽街的地方。他通过实地走访找到“真凶”:宽街上的一个水泵。
最终,约翰·斯洛的“水传播”理论得以验证,这是人类历史上最早在城市内依托空间和时间数据查询“霍乱”事件源头的案例。
如今,疫情之下这个案例被重新引出,危机之下人们不禁思考的一个问题是,在互联网科技发展迅猛的今天,人们应该怎样建设一个城市才能免受或减轻危机所带来的伤害?城市是否能凭借如今的科技手段承担安全“守门人”的角色?
这是基于人类发展的思考,也是对如今智慧城市发展的重新审视。
答案是可以,这次疫情是一个足以自证的机会。但同样能感知到的是,在这场近乎极限的疫情危机下,相较于有所疏漏的“城市差等生”,发展起来的优等生要更能担起这份安全哨所的角色。
成绩的考察来自方方面面。不论是公共交通的分流疏导,还是医疗、卫生的防范隔离,抑或是对于人口的筛查和检测,都是这张考卷的必答题,而正确答案只有一个,即数字化、智能化。
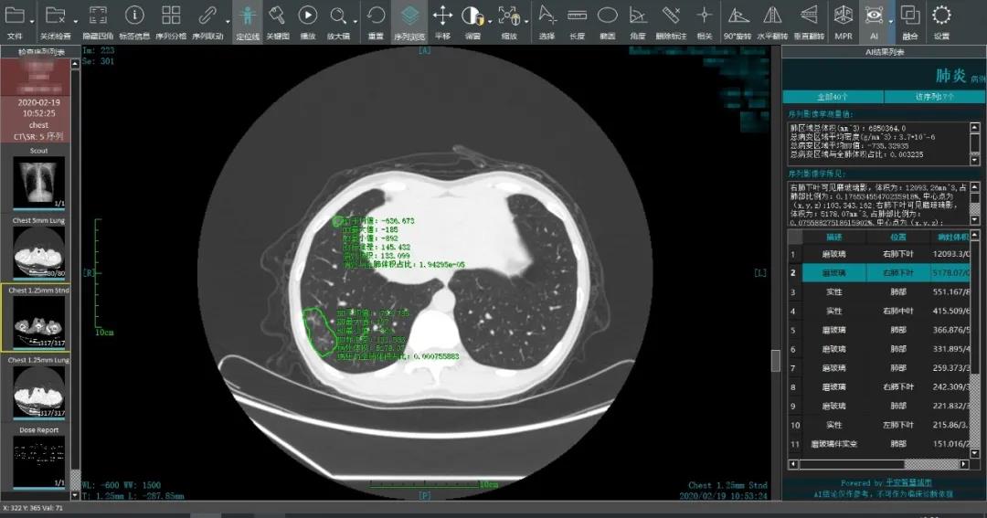
以医疗系统为例,每次重大疫情期间医疗资源都极度匮乏。但抗击新冠肺炎疫情期间不少科技企业的加入让这一困境有所好转。以平安智慧城市的新冠肺炎CT阅片为例,通过人工智能技术能助力医生将传统阅片时间从15分钟缩短至15秒,累计阅片数超400万张,筛选出超2万名疑似患者。

据了解,目前平安辅助诊疗系统覆盖诊前、诊中、诊后全业务流程,可以满足医生、居民不同场景的需求,且如今已覆盖2000+种疾病,支持国家要求的129种基层诊疗病种。平安集团联席CEO陈心颖表示,“平安为15个省市的卫健委提供疫情预测、监控、防控措施,每天有超过100万市民使用平安的服务,有超过30万名医生使用平安的人工智能辅助诊断系统。”
对此,更为直观的感受是,真正的城市“优等生”会基于危机现状选择更为可靠、高效的数字化手段来尽心自我“诊疗”,从而保证城市机器系统的正常运转。
但显然,这并不是一张谁都能得分的答卷。
目之所及,不合格的考卷比比皆是。一些可以列举的细节有,部分城市连“在线预订口罩”“线上收治登记”等基础功能都无法实现;有些街道社区的通知传达、防控知识普及,依然靠嘴、靠腿、靠手动;甚至连体温上报、线索申报、相关文件签字、信息填报等疫情一线关卡的处理方式,用的仍是20年前的处理方式。
可以看作,在疫情“兵临城下”的危机时刻,城市系统的一切细节都被置于放大镜下,共同承担着来自外界的审视和考校。
不论你愿不愿意,这都是一场必须参加的考试。
二、「多选项」的必答题
怎么做一名优等生?答案是德智体美兼备。
不妨先把镜头拉回抗疫期间的深圳,2月23日凌晨,深圳上线了一个新的车辆管理系统——深圳市进深车辆登记申报系统,货车车主可通过“深圳市进深车辆登记申报系统”进行防疫申报登记,完成申报的货运车辆经过检疫站时提前出示“专属绿码”即可通行,为疫情防控和复工复产提供足够安全的保障。
这是深圳交警和平安智慧交通合力打造车辆疫情防护系统。这个项目的本质逻辑是基于AI+大数据、图像识别技术的模式体系,实现对来往车辆的识别和跟踪。
客观来说,这并不是一件容易的事,不仅需要企业对于交通业务的足够熟悉,即在技术侧有足够强的业务积累,能够对货车、小轿车等实现更为精细度的筛查,更需要将交通、医疗、政务等场景全部打通,在筛查的同时将数据进行不同维度的反馈,一旦出现异常,迅速联动,迅速解决。

对城市治理需求的精确理解更体现在智慧政务领域。据了解,在平安智慧城市的助力下,深圳市多部门构建了“城市智脑”系统,将互联网+、大数据、AI人工智能的技术真正落地到宏观经济、智慧投资、智慧产业等模块。除了各细分场景的实操,更亮眼之处在于“城市智脑”系统通过打通各方数据并以此为基点,能够提前7个月准确预测城市的核心经济指标走势,为城市决策者提供数字层面的参考建议,承担起城市发展的“军师”角色。
但事实上,这些仅仅是“智慧城市”的缩影。基于此的一个准确定义是,若想做好智慧城市这道必答题,给出一个答案远远不够,城市的“智慧之处”不仅仅在于居民生活,更在于交通、医疗、政务、卫生,只有城市将这些答案全部框选出,才算真正做好这道必答题。
对于智慧城市,外界有一个颇为形象的比喻:这场浩大的工程恰似一个拼图游戏,每个板块都有自己的准确定位和特殊含义,只有将所有板块做好并放置到相应的位置,这块拼图才可以算得上是完整无缺。
要速度,更要质量;要决心,更要好的着力点。
三、互联网的「综合考卷」
一连串的问题被摆上台面:智慧城市到底怎么发力,如何选择能够承担的落脚点?
在阿尔贝·加缪的经典之作《鼠疫》中有这样几句话:“人世间的罪恶几乎总是由愚昧无知造成,如果缺乏理解,好心能造成和恶意同样大的危害。”
这句话同样适用于城市治理,就智慧城市而言,如果掌握不了正确的转型“秘籍”,城市的进化转型之路显然并非坦途。
企业是“通关秘籍”的最佳撰写者。可以理解为,如果把城市个体看作是集团军,那么企业就是为部队提供武器装备的盟友,相较于城市,企业更等同于“送风人”的角色,其对于智慧城市各个细分场景的理解和技术实地的铺设更为专业,也更为落地,更能理解城市建设中的痛点,直击转型中的难点。
入场者不止平安。华为、腾讯、阿里、京东等巨头都是这个竞技场的一员,从某种程度更可以理解为,之于企业,智慧城市更相当于一张自我证明的综合考卷,分数的高低取决于企业的技术、业务积淀,同样也证明着企业自身的TO B/G能力。
清晰可见的是,基于智慧城市各条线路的综合能力越强,企业在智慧城市的战场上所承载的责任就越大。
以深圳市与平安智慧城市的合作为例,恰恰是基于平安集团多年基于智慧城市场景的积淀和技术落地,才能保证双方基于各种繁杂的场景自由地进行技术侧的排列组合,进而形成足够定制化的智慧解决方案。
如果说腾讯进军智慧城市的底气是基于自身极强的产品能力,阿里入局的自信是多年的TO B积累,华为是靠的自身强大的硬件实力,那么平安智慧城市便是凭借多年深耕智慧城市各条支线的技术和业务场景积淀进行破局。
一个微妙的细节是,对于平安智慧城市,外界能感知到的是大而专。原因是人们尽管在智慧城市的各条支线都能看到它的影子,但每一个场景落地都是极度吻合,不论是政务、医疗,还是交通、居民生活,都看到平安智慧城市产品能够完美地嵌入城市体系,承担城市转身最佳助力者的角色。
更可以理解为,基于多年在智慧城市侧的积淀,平安智慧城市已然熟悉“城市大脑”的构建路径,在多条业务线交织之中找到足够精准的落脚点。
不过,并非所有企业都如同平安。
对大部分企业而言,参与“城市大脑”的建设并不是一张容易得分的题卷。依托AI、云计算、区块链、大数据等国家战略的技术武器,企业能够为城市提供基于不同场景的智能化改造,但如何全面定制地用“城市大脑”将各条支线连接起来,并非易事。
事实为证。在疫情期间,不少城市的数字化体系未能经受住压力,在危机面前形同虚设,不仅未能解决问题,更是给城市管理带来了极大阻碍。
一个定论是,对身置其中的企业而言,走得快是必备要素,但在提速加码的同时,更应该走的稳。
四、智慧城市新图鉴
地处美国爱荷华州东部的迪比克一度有一个响亮的称号——世界第一个智慧城市。
这座城市的智慧之处在于它自身对于智能化建设的重视。在迪比克,城市的所有资源都以数字化的形式连接起来,通过物联网技术将其凝结成一张科技网格,包括水、电、油、气、交通、公共服务等在内的所有功能都能够迅速高效且智能的满足居民需求。
不过,这些以往极具想象力的镜头在国内俨然已成为大众现实,一个足够明显的趋势是,智慧城市的建设正在慢慢提速。

能够看到的是,在今年出台的多个政策中,新基建、智慧城市、产业互联网、数字化等都成为备受关注的热点。从某种程度来说,作为在人们繁衍生息过程中自动生成的单元体,城市开始真正走到聚光灯下,越发以更加独立、更加鲜明的个体身份出现在互联网主场之上。
改变源自压力。在历经疫情的洗礼之后,企业更能理解自身的角色所在,而城市的治理者也更加明了“漏水”之处。可以视作,疫情恰如一个质检员,对智慧城市赛场内每个角色都做了一番考校,并给出相应的修改意见。
显然,从国家政策到置身其中的企业个体,从时代趋势到疫情“质检”后的破而后立,智慧城市的每个环节都在被进一步整合重塑,更加清晰,也更加有的放矢。
医疗体系稳健运转,交通系统平稳分流,社区生活智能化、数据化,居民区政府办事高效便捷……智慧城市的新愿景正在一步步落地生根。
在之前关于智慧城市的调查采访中,有位记者曾问过这样一个问题,“你希望智慧城市未来会是什么样子?”
一个印象比较深刻的回答是,“我希望在危险发生之时,我们可以安全地呆在这个地方。”
安全,但却不止于安全。智能、高效、便捷、以人为本……这个新时代基建的基层工程,正站在新的起跑线上,把想象一步步变成现实。